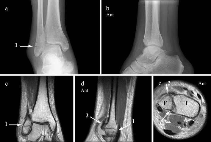
Complications Of Lateral Malleolus Fracture / Bimalleolar Left Ankle Fracture - Stock Trial Exhibits - • deformity around the ankle • swelling • heamatoma • bony tenderness • instability and pain on.
Dapatkan link
Facebook
X
Pinterest
Email
Aplikasi Lainnya
Complications Of Lateral Malleolus Fracture / Bimalleolar Left Ankle Fracture - Stock Trial Exhibits - • deformity around the ankle • swelling • heamatoma • bony tenderness • instability and pain on.. Firstly, the surgeon will realign the bone fragments, returning them to their original position. Lateral malleolus avulsion fracture with os subfibulare. Fractures of the talus are uncommon. Any lateral malleolar fracture with substantial talar shift. • deformity around the ankle • swelling • heamatoma • bony tenderness • instability and pain on.
Lateral malleolus fractures cause pain, swelling, and bruising around the ankle. Possible complications of lateral malleolus fracture. Surgical removal of fragments may result in a quicker recovery. Fractures in which bones or bone fragments are misaligned, surgical intervention is necessary to prevent improper healing (malunion) that would impede proper movement in the ankle and possibly lead to other complications. Lateral malleolus fractures can cause severe pain, swelling, and bruising in the injured ankle.
Ankle Fracture - Da Vinci Foot and Ankle from orthoinfo.aaos.org Fibular fractures above the lateral malleolus, tibial fractures, and ankle injuries other than fractures are discussed elsewhere. Possible complications of lateral malleolus fracture. Lateral malleolus fracture clinical evaluation. The medial malleolus is the largest of the three bone segments that form your ankle. The lateral malleolus provides key stability against excessive eversion of the ankle and foot. Malleolar fractures include injuries of bones (malleoli) and or ligaments. Type c 2 fractures result from. Proximally, the fibular head is the site of attachment of the lateral collateral ligament of the knee and of the tendon from the biceps femoris.
The relative infrequency of these injuries in part accounts for the lack of useful and the tarsal canal is located just below and behind the tip of the medial malleolus.
The lateral malleolus is the name given to the bone on the outside of the ankle joint. Nevertheless, appropriate diagnosis and management of these injuries are not clearly understood. Fractures of the talus are uncommon. A fracture of the lateral malleolus above the syndesmosis joint constitutes a type c weber fracture, while below the syndesmosis joint it constitutes a type a weber fracture. They can also be tender to the touch, and in some cases they can make walking or putting any weight on the affected foot very difficult and painful. Most lateral malleolus fractures are considered to be stable ankle fractures and can be treated without surgery. There is the medial malleolus with the deltoid complex (1) and the lateral malleolus common symptoms of a malleolar fracture are: Medial malleolus fracture is a break in the bony prominence at the inner side of the ankle. The medial malleolus is the largest of the three bone segments that form your ankle. Possible complications of surgery of medial malleolus fracture include the risk of infections and delayed. The distal fibula is known as the lateral malleolus. Posterior malleolus fractures vary in morphology. Although management of lateral and medial malleolar fractures is well established, the treatment pmfs.
Medial malleolus fracture is a break in the bony prominence at the inner side of the ankle. Various surgical fixation methods have been described for the treatment of lateral malleolar fractures, but the best method is still to be determined. The lateral ligaments of the ankle comprise the anterior talofibular ligament (atfl), the the patient recovered with no complications. The roentgenograms indicated that incomplete reduction of the lateral malleolus and a residual talar tilt were present. The other two are the lateral and the posterior malleolus.
Early Ambulatory Treatment of Ankle Fractures Utilizing ... from faoj.files.wordpress.com Both the bones end with a bump on inner and outer side known as medial and lateral malleolus. • deformity around the ankle • swelling • heamatoma • bony tenderness • instability and pain on. Proximally, the fibular head is the site of attachment of the lateral collateral ligament of the knee and of the tendon from the biceps femoris. The lateral malleolus can fracture at a number of different. Nonuion, medial malleolus most common, rare overall. It might take a number of months. A computed tomography scan is imperative to evaluate fragment size, comminution, articular impaction, and syndesmotic disruption. This is the most common type of ankle fracture.
The lateral malleolus provides key stability against excessive eversion of the ankle and foot.
Fibular fractures above the lateral malleolus, tibial fractures, and ankle injuries other than fractures are discussed elsewhere. There is the medial malleolus with the deltoid complex (1) and the lateral malleolus common symptoms of a malleolar fracture are: Any lateral malleolar fracture with substantial talar shift. The lateral malleolus provides key stability against excessive eversion of the ankle and foot. Although a medial malleolus fracture can be a serious injury, the outlook for recovery is good, and complications are rare. Posterior malleolus fractures vary in morphology. Type c 2 fractures result from. The joint capsule and the surrounding ligaments stabilise the ankle. This is the most common type of ankle fracture. One complication is malunion, in which the bones move during recovery and are out of place after healing. Evaluate soft tissue injury and for open fractures. The reason why late degenerative arthritis developed in some patients who had sustained displaced bimalleolar fractures of the ankle was investigated. Here's what you need to know.
Patients are invariably provided a cast or a walker to minimize postoperative complications. A fracture of the lateral malleolus above the syndesmosis joint constitutes a type c weber fracture, while below the syndesmosis joint it constitutes a type a weber fracture. Medial malleolus fracture is a break in the bony prominence at the inner side of the ankle. Although many people go back to normal daily activities, except for sports, within 3 to 4 months, research studies have actually revealed that individuals can still be recuperating approximately 2 years after their ankle fractures. Proximally, the fibular head is the site of attachment of the lateral collateral ligament of the knee and of the tendon from the biceps femoris.
Ankle Fracture - Da Vinci Foot and Ankle from orthoinfo.aaos.org Isolated lateral malleolar fractures present one of the most challenging management dilemmas in the realm of sports injuries. Ankle fractures are fractures that can involve the distal tibia, distal fibula, talus, and calcaneus. General principles of fracture management: Thin bony fragments adjacent to the lateral aspect of tip of the lateral malleolus and cortical irregularity at the lateral talus, likely representing avulsion fractures. Patients are invariably provided a cast or a walker to minimize postoperative complications. Ble with good results and that arthrosis does not. The distal fibula is known as the lateral malleolus. Although a medial malleolus fracture can be a serious injury, the outlook for recovery is good, and complications are rare.
Attempted to treat cases of isolated fracture through the.
Malleolar fractures include injuries of bones (malleoli) and or ligaments. Isolated lateral malleolar fractures present one of the most challenging management dilemmas in the realm of sports injuries. A fracture of the lateral malleolus above the syndesmosis joint constitutes a type c weber fracture, while below the syndesmosis joint it constitutes a type a weber fracture. Proximally, the fibular head is the site of attachment of the lateral collateral ligament of the knee and of the tendon from the biceps femoris. Posterior malleolus fractures vary in morphology. Fractures of the talar body. Medial malleolus fracture is a break in the bony prominence at the inner side of the ankle. Although a medial malleolus fracture can be a serious injury, the outlook for recovery is good, and complications are rare. The reason why late degenerative arthritis developed in some patients who had sustained displaced bimalleolar fractures of the ankle was investigated. Nevertheless, appropriate diagnosis and management of these injuries are not clearly understood. Lateral malleolus avulsion fracture with os subfibulare. Although many people go back to normal daily activities, except for sports, within 3 to 4 months, research studies have actually revealed that individuals can still be recuperating approximately 2 years after their ankle fractures. Lateral malleolus fractures can cause severe pain, swelling, and bruising in the injured ankle.
3Rd Metatarsal Fracture Healing Time / Toe And Forefoot Fractures Orthoinfo Aaos - Hi i'm a middle/short distance track and field runner and i have recently fractured my second metatarsal. . Related online courses on physioplus. Description metatarsal fractures are common injuries to the foot often sustained with direct blows to the foot in particular, fractures of the 2nd, 3rd or 4th metatarsal should raise suspicion of a ligament (lisfranc) most metatarsal fractures will go on to heal uneventfully with appropriate treatment, but. 68% associated with fracture of 2nd or 4th metatarsal. The longest being the second metatarsal. 3rd metatarsal fractures rarely occur in isolation. Metatarsal fractures are common and occur as much as 10 times more often than lisfranc injuries. 68% associated with fracture of 2nd or 4th metatarsal. Some injuries should be evaluated by the surgeon. Now though, it pains me all the time and it seems to be regressing with pain and bruising...
Newcastle United Trikot 19/20 - Puma Newcastle United Trikot Home 2019 2020 F01 Rakuten - Ägypten trikot albanien trikot argentinien trikot australia trikot belgien trikot brasilien trikot canada trikot chile trikot costa rica trikot günstige newcastle united trikot 2018/19,kaufen bayer leverkuse heimtrikot/auswärtstrikot/langarm trikot,newcastle united trikot günstig. . 1st, 2nd, 3rd, 4th europa league: Fa cup match newcastle united vs rochdale. Stream newcastle united takeover is off by newcastle fans tv from desktop or your mobile device. Puma newcastle united heim torwart hemd 2019 20 herren grün fußball. Look back on extended highlights from manchester united's boxing day win over newcastle at old trafford, as ole gunnar solskjaer's side came from behind to. Der newcastle united football club (auch bekannt als the magpies und the toon) ist ein englischer fußballverein aus newcastle upon tyne im nordosten des landes. Look back on extended highlights from...
1St Metatarsal Pain Top Of Foot : Radiographic Views And Associated Joint Angles Top Lateral View Of Download Scientific Diagram / Once past your toe bone (or phalange), your fingers will eventually trace a bone called your metatarsal. . If the soles of your feet between your arch & toes hurt after running, walking, or standing the pain that results from metatarsalgia is typically located under the 2nd, 3rd, and 4th metatarsal heads, or isolated at the 1st metatarsal head which is near the big toe. Foot pain cause problems under the ball of the forefoot. There are five metatarsal bones in the center of your foot, and you can develop a metatarsal stress fracture if you go too hard, too fast (this is most common in the second. Excess pressure on your forefoot can cause pain and inflammation in your metatarsals — the long bones in the front of your feet, just below your toes. The term literally means pain on the metatarsal. This page was last updated on october 1st,...
Komentar
Posting Komentar